Esthétique Dentaire Boulogne-Billancourt -
Facettes - Blanchiment
Dr ASSAYAG Marie-Claude
Accueil
Le cabinet
Plan d’accès
Urgences
Nos vidéos
Fiches Conseils
Preconsultation
Contact
Prendre RDV
Cas du mois
EXEMPLE DE TRAITEMENT
9 bis Boulevard Jean Jaures
92100
BOULOGNE-BILLANCOURT
+33 1 40 92 72 34
Esthétique Dentaire Boulogne-Billancourt -
Facettes - Blanchiment
Dr ASSAYAG Marie-Claude
Accueil
Le cabinet
Plan d’accès
Urgences
Nos vidéos
Fiches Conseils
Preconsultation
Contact
Prendre RDV
Cas du mois
EXEMPLE DE TRAITEMENT
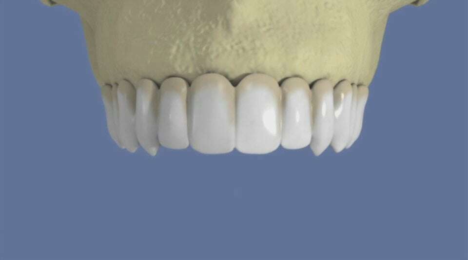
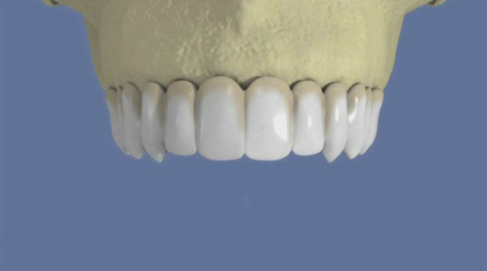
Maxillaire : bridge vissé sans fausse gencive
Vidéos 3D
Partager
Twitter
Partager
Partager
Envoyer
Copier
Esthétique Dentaire Boulogne-Billancourt - Facettes - Blanchiment
9 bis Boulevard Jean Jaures
92100
BOULOGNE-BILLANCOURT
+33 1 40 92 72 34
Politique de confidentialité et charte cookie
Mentions légales
Conditions Générales Utilisation
Charte déontologique
Ordre national
Annuaires chirurgiens dentistes
Lundi
9h - 19h
Mardi
9h - 19h
Mercredi
9h - 19h
Jeudi
9h - 19h
Vendredi
9h - 19h
Samedi
8h30 - 13h
Dimanche
Fermé
Création par
Connexion